समाज

केपीजीले गर्ने पञ्चे र्‍याली, हामीले गर्ने जनआन्दोलन : प्रचण्ड

नारा लाग्यो- ‘आदेश देऊ प्रचण्ड, हामी लड्न तयार छौँ’ काठमाडौं : नेपाल कम्युनिस्ट पार्टी (नेकपा) अध्यक्ष पुष्पकमल दाहाल ‘प्रचण्ड’ले अब जनआन्दोलन

जनकपुरमा प्रहरी र प्रर्दशनकारीबीच झडप : नेता रामचन्द्र झा घाइते

जनकपुरधाम :  नेकपाको प्रचण्ड-नेपाल समूहले आह्वान गरेको आमहड्तालको क्रममा जनकपुरमा प्रदर्शनकारी र प्रहरीबीच झडप भएको छ। प्रदर्शनकारीहरुले जनकपुर बजार बन्द गराउँदै

ओलीको निरंकुशताबाट देशलाई बचाउन आमहड्तालः शशी श्रेष्ठ

२२ माघ, काठमाडौँ । नेपाल कम्युनिष्ट पार्टी(नेकपा) पुष्पकमल दाहाल–माधवकुमार नेपाल समुहकी नेतृ शशी श्रेष्ठले मुलुकलाई संविधानसम्मत् ढंगले अगाडी हिडाउनको लागि

सिन्धुलीमा प्रचण्ड-नेपाल र ओली समूहबीच झडप

सिन्धली : नेपाल कम्युनिस्ट पार्टी (नेकपा) प्रचण्ड – नेपाल समूह र ओली समूहबीच सिन्धुलीमा झडप भएको छ । प्रचण्ड- नेपला

महोत्तरीको बर्दिबासमा प्रहरी र प्रदर्शनकारीबीच झडप

महोत्तरीको बर्दिबासमा प्रहरी र प्रदर्शनकारीबीच भएको झडपमा केही जनप्रतिनिधि घाइते भएका छन्। पूर्व–पश्चिम राजमार्ग बन्द गरेर बसेका प्रदर्शनकारीमाथि प्रहरीले बल

के हो ब्रोनकाइटिस ? यी हुन लक्षण र उपचार

जाडोमा छातीसम्बन्धि समस्यासँगै ब्रोनकाइटिसको समस्या धेरै हुने गर्दछ । विशेषगरी ब्रोनकाइटिसको जोखिममा बालबालिका तथा वृद्धवृद्धा हुन्छन् । त्यस्तै, धुमपान गर्नेहरुमा

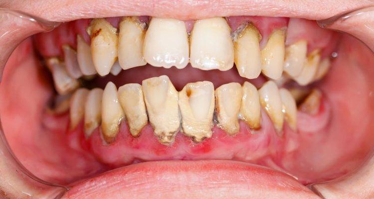
दाँतमा आउने समस्याको यसरी गर्नुहोस उपचार

दाँतले खाना चपाउने मात्र होइन अनुहारको सुन्दरता सहित ब्यक्तित्वमा समेत महत्व राख्दछ । दाँत सडे, खाल्डो परे घरेलु विधि अपनाएर

यस्ता छन् दैनिक चना र केराउ खानुका फाइदा

सामान्यतया खाजाको रुपमा केराउ र चनाको खुव प्रयोग हुन्छ । तर केराउ र चना खाँदाका धेरै फाइदा छन् त्यो सबैलाई

दाँतमा आएको समस्यालाई घरेलु उपायले यसरी उपचार गर्न सकिन्छ

काठमाण्डौ । मानिसको सुन्दरता उस्को दाँतमा हुन्छ । बोल्दा र हाँस्दा सबैभन्दा पहिले देखिने भनेकै दाँत हो । दाँतले खाना

कञ्चनपुरमा गुडिरहेको गाडीमा ढुङ्गा प्र’हा’र

कञ्चनपुर । कञ्चनपुरको शुक्लाफाँटा नगरपालिका १० स्थित पूर्वपश्चिम राजमार्गको झलारीमा चल्दै गरेको बसमा अज्ञात समूहले ढुङ्गा प्र’हा’र गरेको छ ।